Preview

Национальный журнал Глаукома

Расширенный поиск

Комбинированное лечение неоваскулярной глаукомы на фоне тромбоза центральной вены сетчатки (клинический случай)

Аннотация

Цель. Представить особенности клиники и оценить эффективность лазерного и хирургического лечения пациентов с неоваскулярной глаукомой на фоне перенесенного тромбоза центральной вены сетчатки.

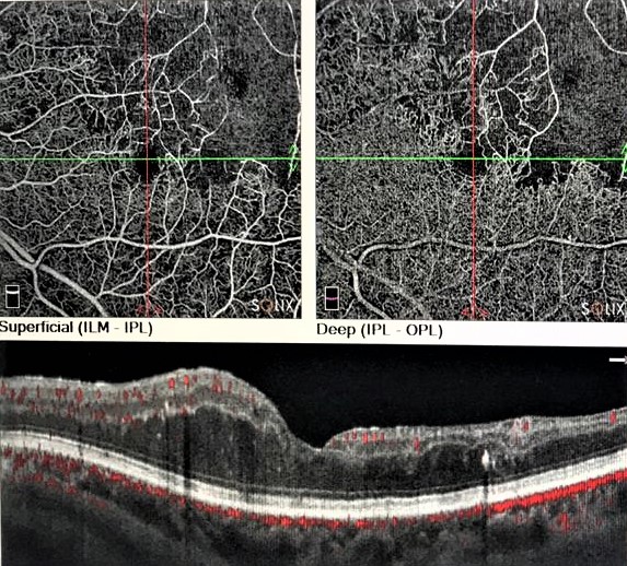
Материал и методы. Обследованы два пациента с вторичной неоваскулярной глаукомой вследствие тромбоза центральной вены сетчатки. Выполнены оперативные вмешательства: пациенту М. - микроимпульсная циклофотокоагуляция (дважды), интравитреальное введение ингибитора ангиогенеза (5 инъекций), лазеркоагуляция сетчатки (двухэтапная); пациенту Е. - микроимпульсная циклофотокоагуляция, интравитреальное введение ингибитора ангиогенеза (2 инъекции), имплантация клапана Ahmed.

Результаты. В результате проведенного лечения была достигнута компенсация внутриглазного давления, улучшение зрительных функций, снижение неоваскуляризации структур переднего отрезка глазного яблока.

Обсуждение и заключение. Микроимпульсная циклофотокоагуляция может применяться в комплексном лечении неоваскулярной глаукомы на любом этапе с целью снижения ВГД и уменьшения неоваскуляризации радужки и структур угла передней камеры в послеоперационном периоде.

Об авторе

Анна Владимировна Старостина
МНТК "Микрохирургия глаза" им. акад. С.Н. Федорова
Россия


Дополнительные файлы

1. Рисунок 1
Тема
Тип Исследовательские инструменты
Посмотреть (179KB)    
Метаданные ▾
2. рисунок 2
Тема
Тип Исследовательские инструменты
Посмотреть (139KB)    
Метаданные ▾
3. рисунок 3
Тема
Тип Исследовательские инструменты
Посмотреть (177KB)    
Метаданные ▾
4. рисунок 4
Тема
Тип Исследовательские инструменты
Посмотреть (327KB)    
Метаданные ▾
5. рисунок 5
Тема
Тип Исследовательские инструменты
Посмотреть (346KB)    
Метаданные ▾
6. рисунок 6
Тема
Тип Исследовательские инструменты
Посмотреть (35KB)    
Метаданные ▾
7. рисунок 7
Тема
Тип Исследовательские инструменты
Посмотреть (131KB)    
Метаданные ▾
8. рисунок 8
Тема
Тип Исследовательские инструменты
Посмотреть (149KB)    
Метаданные ▾
9. Сопроводительное письмо
Тема
Тип Исследовательские инструменты
Скачать (262KB)    
Метаданные ▾
10. подписи авторов
Тема
Тип Исследовательские инструменты
Скачать (235KB)    
Метаданные ▾

Рецензия

Для цитирования:


Старостина А.В. Комбинированное лечение неоваскулярной глаукомы на фоне тромбоза центральной вены сетчатки (клинический случай). Национальный журнал Глаукома. 2021;20(3).

Просмотров: 399

JATS XML


Creative Commons License
Контент доступен под лицензией Creative Commons Attribution 4.0 License.


ISSN 2078-4104 (Print)
ISSN 2311-6862 (Online)