Особенности послеоперационного периода при хирургии глаукомы у пациента с синдромом Стердж-Вебера (клинический случай)
Аннотация
ЦЕЛЬ. Оценить эффективность хирургического лечения вторичной глаукомы и представить особенности клиники послеоперационного периода у пациента с синдромом Стердж-Вебера (ССВ).
МЕТОДЫ. В «МНТК «Микрохирургия глаза» им. акад. С.Н. Федорова» г. Москва проведено обследование пациента с ССВ, гемангиомой хориоидеи и декомпенсированной вторичной глаукомой и выполнено лечение: имплантация клапана Ahmed.
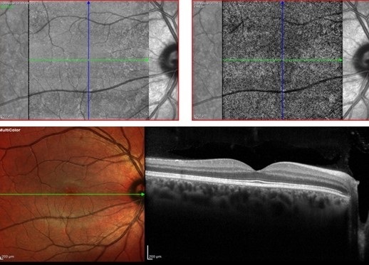
РЕЗУЛЬТАТЫ. На первые сутки после операции на левом глазу выявлено: гипотония, измельчение передней камеры, серозная цилиохориоидальная отслойка. Проведена задняя трепанация склеры, восстановлен объем передней камеры вискоэластиком. На следующие сутки нормализация ВГД и полное прилегание сосудистой оболочки, но обнаружена отслойка нейроэпителия в макулярной области, в связи назначены инъекции глюкокортикостероидов с положительным эффектом. Через 1 месяц после операции жалобы отсутствуют, оболочки прилежат, на левом глазу ВГД - 16 мм рт. ст. без гипотензивных капель, острота зрения на оба глаза 1,0.
ЗАКЛЮЧЕНИЕ. Имплантация дренажного клапана Ahmed может применяться в лечении вторичной глаукомы у пациентов с ССВ с целью снижения ВГД и минимизации рисков развития осложнений.
Об авторах
Анна Владимировна СтаростинаРоссия
Ольга Борисовна Клепинина
Россия
Алла Валентиновна Сидорова
Россия
Маргарита Робертовна Хабазова
Россия
Алексей Андреевич Арисов
Россия
Ксения Алексеевна Стефанкова
Россия
Список литературы
1. Iwach AG, Hoskins HD Jr, Hetherington J Jr, Shaffer RN. Analysis of surgical and medical management of glaucoma on Sturge-Weber syndrome. Ophthalmology 1990;97:904-909.
2. https://doi.org/10.1016/s0161-6420(90)32483-1
3. Hassanpour K, Nourinia R, Gerami E, Mahmoudi G, Esfandiari H. Ocular Manifestations of the Sturge–Weber Syndrome. J Ophthalmic Vis Res 2021;16:415–431. https://doi.org/10.18502/jovr.v16i3.9438
4. Hamush NG, Coleman AL, Wilson MR. Ahmed glaucoma valve implant for management of glaucoma in Sturge-Weber syndrome. Am J Ophthalmol. 1999;128:758–760. https://doi.org/10.1016/s0002-9394(99)00259-7
5. Kaushik J, Parihar JKS, Jain VK, Mathur V. Ahmed valve implantation in childhood glaucoma associated with Sturge-Weber syndrome: our experience. Eye (Lond). 2019 Mar;33(3):464-468. https://doi.org/10.1038/s41433-018-0233-x
6. Olsen K.E., Huang A.S., Wright M.M. The efficacy of goniotomy/trabeculotomy in early-onset glaucoma associated with the Sturge-Weber syndrome. J AAPOS. 1998 Dec;2(6):365-368.
7. https://doi.org/10.1016/s1091-8531(98)90036-2
8. Keverline PO, Hiles DA. Trabeculectomy for adolescent onset glaucoma in the Sturge-Weber syndrome. J Pediatr Ophthalmol 1976;13:144-148.
9. Ali MA, Fahmy IA, Spaeth GL. Trabeculectomy for glaucoma associated with Sturge-Weber syndrome. Ophthalmic Surg 1990;21:352-355.
10. Beck AD, Freedman S, Kammer J, Jin J. Aqueous shunt devices compared with trabeculectomy with Mitomycin-C for children in the first two years of life. Am J Ophthalmol. 2003;136:994–1000.
11. https://doi.org/10.1016/s0002-9394(03)00714-1
12. Shiu-Chen Wu 1, Ken-Kuo Lin. Ahmed glaucoma valve implant for childhood glaucoma in Sturge-Weber syndrome with choroidal hemangioma. Chang Gung Med J. Sep-Oct 2006;29(5):528-531.
13. Budenz DL, Sakamoto D, Eliezer R, Varma R, Heuer DK. Two-staged Baerveldt glaucoma implant for childhood glaucoma associated with Sturge-Weber syndrome. Ophthalmology 2000;107:2105-2110. https://doi.org/10.1016/s0161-6420(00)00381-x
14. Latina MA. Single stage Molteno implant with combination internal occlusion and external ligature. Ophthalmic Surg 1990;21:444-6.
15. Sood D, Rathore A, Sood I, Kumar D, Sood NN. Long-term intraocular pressure after combined trabeculotomy-trabeculectomy in glaucoma associated with Sturge-Weber syndrome. Eur J Ophthalmol 2018;28:210–215. https://doi.org/10.5301/ejo.5001024
16. Pakravan M, Nikkhah H, Yazdani S, Baradaran Rafiei AR. Trabeculectomy with mitomycin C versus Ahmed glaucoma implant with mitomycin C for treatment of pediatric aphakic glaucoma. J Glaucoma. 2007;16:631–636. https://doi.org/10.1097/IJG.0b013e3180640f58
17. Netland PA, Walton DS. Glaucoma drainage implants in pediatric patients. Ophthamic Surg. 1993;24:723–729.
18. Nassiri N, Nour-Mahdavi K, Colemann AL. Ahmed glaucoma valve in children: a review. Saudi J Ophthalmol. 2011;25:317–327. https://doi.org/10.1016/j.sjopt.2011.07.002
19. Chen TC, Bhatia LS, Walton DS. Ahmed valve surgery for refractory pediatric glaucoma: a report of 52 eyes. J Pediatr Ophthalmol. 2005;42:274–283. https://doi.org/10.3928/0191-3913-20050901-09
20. Amini H, Razeghinejad MR, Esfandiarpour B. Primary single-plate Molteno tube implantation for management of glaucoma in childrenwith Sturge-Weber syndrome. Int Ophthalmol 2007;27:345-350. https://doi.org/10.1007/s10792-007-9091-4
21. Glaser TS, Meekins LC, Freedman SF. Outcomes and lessons learned from two decades' experience with glaucoma drainage device implantation for refractory Sturge Weber-associated childhood glaucoma. J AAPOS. 2021 Dec;25(6):332.e1-332.e6. https://doi.org/10.1016/j.jaapos.2021.05.019
Дополнительные файлы
|
|
1. Рис. 1. Фотография переднего отрезка глаза: ангиоматоз конъюнктивы и склеры | |
| Тема | ||
| Тип | Прочее | |
Посмотреть
(106KB)
|
Метаданные ▾ | |
|
|
2. Рис. 2. | |
| Тема | ||
| Тип | Прочее | |
Посмотреть
(3MB)
|
Метаданные ▾ | |
|
|
3. Рис. 3 | |
| Тема | ||
| Тип | Прочее | |
Посмотреть
(88KB)
|
Метаданные ▾ | |
|
|
4. рис. 4 | |
| Тема | ||
| Тип | Исследовательские инструменты | |
Посмотреть
(104KB)
|
Метаданные ▾ | |
|
|
5. рис. 5 | |
| Тема | ||
| Тип | Исследовательские инструменты | |
Посмотреть
(85KB)
|
Метаданные ▾ | |
|
|
6. рис. 6 | |
| Тема | ||
| Тип | Исследовательские инструменты | |
Посмотреть
(104KB)
|
Метаданные ▾ | |
|
|
7. рис. 7 | |
| Тема | ||
| Тип | Исследовательские инструменты | |
Посмотреть
(944KB)
|
Метаданные ▾ | |
|
|
8. рис. 8 | |
| Тема | ||
| Тип | Исследовательские инструменты | |
Посмотреть
(347KB)
|
Метаданные ▾ | |
|
|
9. рис. 9 | |
| Тема | ||
| Тип | Исследовательские инструменты | |
Посмотреть
(456KB)
|
Метаданные ▾ | |
|
|
10. рис. 10 | |
| Тема | ||
| Тип | Исследовательские инструменты | |
Посмотреть
(75KB)
|
Метаданные ▾ | |
Рецензия
Для цитирования:
Старостина А.В., Клепинина О.Б., Сидорова А.В., Хабазова М.Р., Арисов А.А., Стефанкова К.А. Особенности послеоперационного периода при хирургии глаукомы у пациента с синдромом Стердж-Вебера (клинический случай). Национальный журнал Глаукома. 2022;21(3).
For citation:
Starostina A., Klepinina O., Sidorova A., Khabazova M., Arisov A., Stefankova K. Features of the postoperative period of a patient with Sturge-Weber syndrome after glaucoma surgery (clinical case). National Journal glaucoma. 2022;21(3).

















